おかげさまで開設25周年VIRGINIENACCI.SRVTMP.COM 創業祭

VIRGINIENACCI.SRVTMP.COM

詳しくはこちら
マイストア マイストア 変更
  • 即日配送
  • 広告
  • 取置可能
  • 店頭受取

HOT ! 【希少】brainchild’s 非現実 希少】brainchild's 非現実 希少】brainchild's 非現実 希少

※VIRGINIENACCI.SRVTMP.COM 限定モデル
YouTuberの皆様に商品の使い心地などをご紹介いただいております!
紹介動画はこちら

ネット販売
価格(税込)

17600

  • コメリカード番号登録、コメリカードでお支払いで
    コメリポイント : 7ポイント獲得

コメリポイントについて

購入個数を減らす
購入個数を増やす

お店で受け取る お店で受け取る
(送料無料)

受け取り店舗:

お店を選ぶ

近くの店舗を確認する

納期目安:

13時までに注文→17時までにご用意

17時までに注文→翌朝までにご用意

受け取り方法・送料について

カートに入れる

配送する 配送する

納期目安:

2025.12.16 23:23頃のお届け予定です。

決済方法が、クレジット、代金引換の場合に限ります。その他の決済方法の場合はこちらをご確認ください。

※土・日・祝日の注文の場合や在庫状況によって、商品のお届けにお時間をいただく場合がございます。

即日出荷条件について

受け取り方法・送料について

カートに入れる

欲しいものリストに追加

欲しいものリストに追加されました

【希少】brainchild’s 非現実 希少】brainchild's 非現実 希少】brainchild's 非現実 希少の詳細情報

希少】brainchild's 非現実 希少】brainchild's 非現実 希少。希少】brainchild's 非現実。brainchild's、初ベストアルバムの詳細を解禁 BOX付属のスペシャル。brainchild’s documentary na tei de“非現実〜OUT OF TOUCH WITH REALITY”ダンス企画dvdです。パッケージとディスクにやや傷がありますが視聴に問題はないです。DVDBrainchildsブレインチャイルズTHE YELLOW MONKEYザ・イエロー・モンキーイエモン菊地英昭EMMA鶴神田雄一郎Nokia秋野温Keita the Newest早川誠一郎。Excess brain fluid may predict autism in high-risk babies。氷室京介 25TH ANNIVERSARY TOUR ブルーレイ Blu-ray
  • 希少】brainchild's 非現実 希少】brainchild's 非現実 希少
  • 希少】brainchild's 非現実
  • brainchild's、初ベストアルバムの詳細を解禁 BOX付属のスペシャル
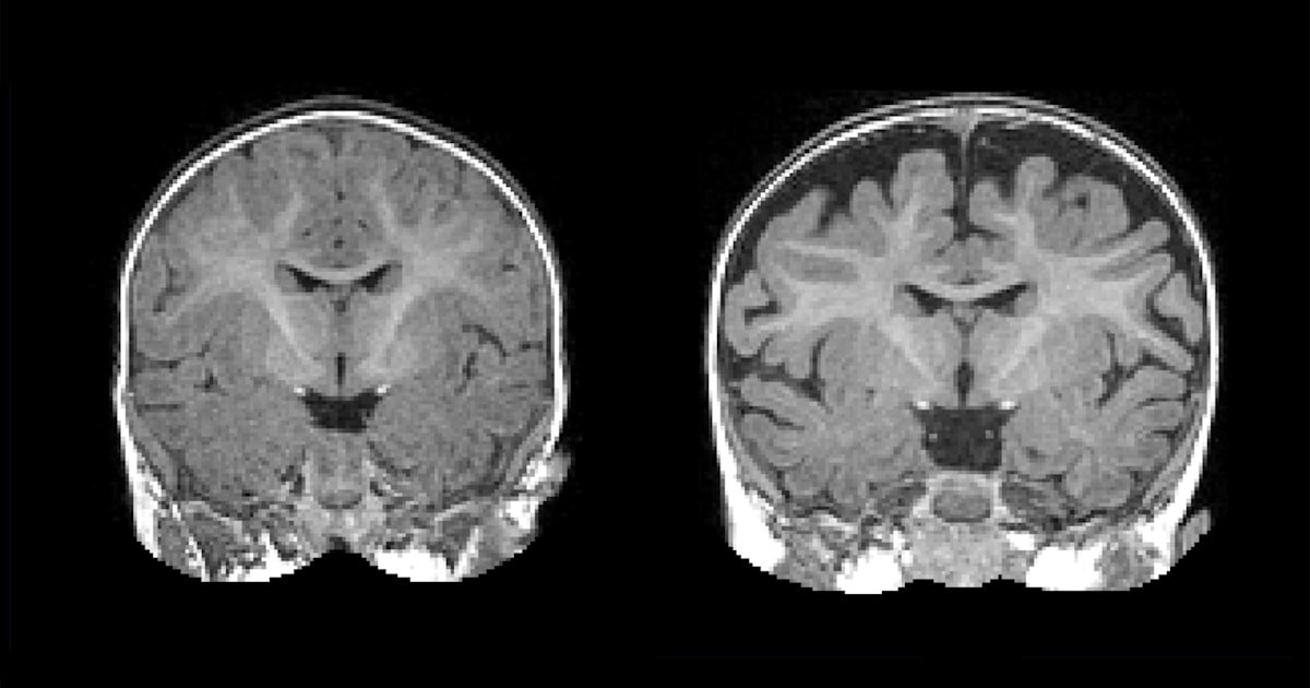
  • Excess brain fluid may predict autism in high-risk babies

同じカテゴリの 商品を探す

ベストセラーランキングです

このカテゴリをもっと見る

この商品を見た人はこんな商品も見ています

近くの売り場の商品

このカテゴリをもっと見る

カスタマーレビュー

オススメ度  4.7点

現在、7057件のレビューが投稿されています。